成都博仕胃肠汇集多名京、沪、川知名专家,多年胃肠诊疗积淀,凭借数十年的临床经验,能准确把握不同程度的各种胃肠疾病,为患者一对一定制适合的治疗方案,为治疗提供……【详细】
医生简介:副主任医师,王浩波凭借其在消化内科领域的杰出贡献,多次受邀出席全国重要学术会议、论坛。为广大患者解除口臭困扰。对急慢性胃炎、反流性食管炎、消化性溃疡等常见疾病具有丰富的诊疗经验...【详细】
医生简介:从事消化系统疾病临床工作30余年,具有丰富的临床经验,深厚的专业理论基础和较强的科研能力。多次在湖北中医学院进修学习,擅于运用中西结合的方法,对各种消化疾病进行有效诊疗...【详细】
医生简介: 主治医师,从事消化内科临床诊疗工作30余年,具有丰富的临床诊疗经验,对西医治疗消化系统胃肠疾病的诊断及治疗有独特见解。擅长西医治疗各种常见胃肠道疾病,对胃肠疑难杂症的治疗...【详细】
医生简介: 从事消化内科临床工作40余年 擅长诊治口臭,反流性食管炎,慢性胃炎,胃十二指肠溃疡,萎缩性胃炎,胃息肉,腹泻、便秘、溃疡性结肠炎,慢性结肠炎,肠息肉...【详细】
胃肠知名医师联合会诊,通过临床交流,融合双方临床诊疗流程及标准,制定新临床诊疗服务标准。16个安全细节9重技术,让胃肠……【详细】
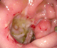
在成都博仕医院治愈的萎缩性胃炎患者






健康热线: 028-61998899 (点击直接拨打)
地址:成都市武侯区二环路西一段2号(武侯生活广场旁)
本网站信息仅供参考,不能作为诊疗及医疗依据。
医广审查文号:(成武)医广【2015】第12-23-074号